aggeiologia.gr

Ιατρεία:
Αθήνα - Πεύκη - Χίος - Γλυφάδα
pavlos@aggeiologia.gr
210 722 722 1 - 6944 475 225
  • ΑΡΧΙΚΗ
  • ΠΡΟΦΙΛ
    • Βιογραφικό
    • Αγγειολογία & Αγγειοχειρουργική
    • Επιστημονικές Εργασίες
    • Ομιλίες
    • Διοργάνωση Ημερίδων
    • Δραστηριότητες
    • Αρθρογραφία
  • ΙΑΤΡΕΙΑ
    • Ιατρείο Αθηνών
    • Ιατρείο Πεύκης
    • Ιατρείο Γλυφάδας
    • Ιατρείο Χίου
  • ΠΑΘΗΣΕΙΣ
    • Διάγνωση Αγγειακών Παθήσεων
      • Ιστορικό & Κλινική Εξέταση
      • Triplex Αγγείων
    • Θεραπεία Φλεβικών Παθήσεων
      • Φλεβική Ανεπάρκεια
      • Κιρσοί κάτω άκρων
      • Ευρυαγγείες
      • Φλεβικό Έλκος
    • Θεραπεία Αρτηριακών Παθήσεων
      • Στένωση Καρωτίδας
      • Ανεύρυσμα Κοιλιακής – Θωρακικής Αορτής
      • Θωρακοκοιλιακό Ανεύρυσμα
      • Στένωση – Απόφραξη Περιφερικής Αρτηρίας
  • ΕΠΙΚΟΙΝΩΝΙΑ
Monday, 19 March 2018 / Published in Ομιλίες

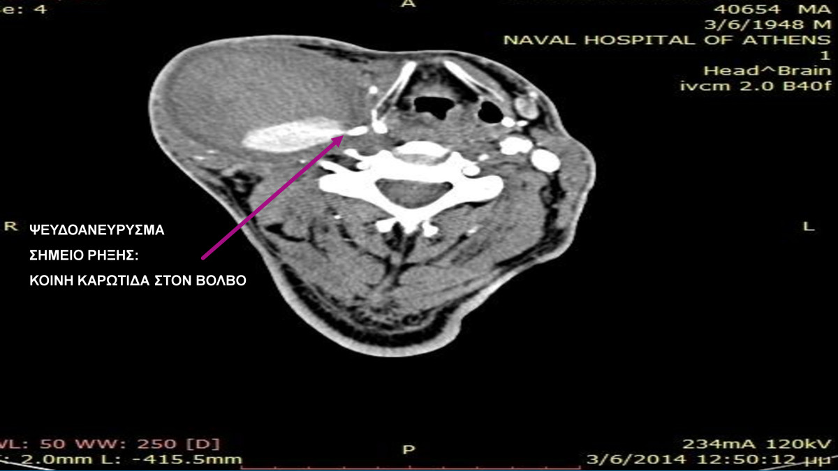
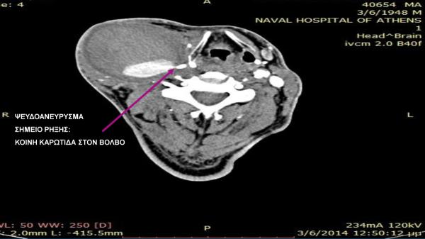
“Ενδαγγειακή Αποκατάσταση Ψευδοανευρίσματος Καρωτίδας μετα Ενδαρτηρεκτομή”

17ο ΠΑΝΝΕΛΗΝΙΟ ΣΥΝΕΔΡΙΟ ΑΓΓΕΙΑΚΗΣ & ΕΝΔΑΓΓΕΙΑΚΗΣ ΧΕΙΡΟΥΡΓΙΚΗΣ – ΑΓΓΕΙΟΛΟΓΙΑΣ
2018, Θεσσαλονίκη

  • Tweet

What you can read next

Διαβητικό πόδι. Η αναγκαιότητα της αρωγής πολλών ειδικοτήτων στην αντιμετώπισή του
Αντιμετώπιση της λαγονομηριαίας φλεβικής θρόμβωσης. Αντιπηκτική αγωγή
Φλεβοθρόμβωση: Μύθος και πραγματικότητα. Παράγοντες κινδύνου

Βακαλόπουλος Γ. Παύλος MD,MSc

ΑΓΓΕΙΟΧΕΙΡΟΥΡΓΟΣ

τ. Διευθυντής Αγγειοχειρουργικής Κλινικής Ναυτικού Νοσοκομείου Αθηνών.

Διευθυντής Β΄  Αγγειοχειρουργικής Κλινικής Mediterraneo Hospital

Μετεκπαιδευθείς εις "Imelda Hospital", Βέλγιο

Master στις "Ενδαγγειακές Τεχνικές¨" & στο "Triplex αγγείων"

GDPR

  • Όροι χρήσης
  • Πολιτική Απορρήτου

ΔΙΑΓΝΩΣΗ

  • Ιστορικό & Κλινική Εξέταση
  • Triplex Αγγείων

ΠΑΘΗΣΕΙΣ

  • Φλεβική Ανεπάρκεια
  • Κιρσοί κάτω άκρων
  • Ευρυαγγείες
  • Φλεβικό Έλκος
  • Στένωση Καρωτίδας
  • Ανεύρυσμα Κοιλιακής – Θωρακικής Αορτής
  • Θωρακοκοιλιακό Ανεύρυσμα
  • Στένωση – Απόφραξη Περιφερικής Αρτηρίας

ΕΠΙΚΟΙΝΩΝΙΑ


Ιατρείο Αθήνας


Γεωργίου Σισίνη 37 & Χατζηγιάννη Μέξη
(δίπλα στο ξενοδοχείο Hilton)

Δευτέρα & Τετάρτη (17:00 - 20:00)
210 722 722 1, 6944475225
pavlos@aggeiologia.gr


Ιατρείο Πεύκης


Λεωφόρος Ειρήνης 11

Τρίτη & Παρασκευή (17.00 - 20.00)
Τετάρτη (09.00 -11.00)

210 722 722 1, 6944475225
pavlos@aggeiologia.gr


Ιατρείο Χίου


Κλινική "Ζωοδόχος Πηγή" (Ι.Μισαηλίδη)

Ευαγγελιστρίας 10

Για ραντεβού καλέστε πρωινές ώρες: 22710 22487


Ιατρείο Γλυφάδας


Mediterraneo Hospital

Ηλείας 8 - 12

Ραντεβού: 210 9117710 & 730

© 2025 aggeiologia.gr. All rights reserved. Made by Webmaze
TOP
Ο παρόν ιστότοπος προκειμένου να παρέχει την καλύτερη δυνατή εμπειρία στους χρήστες χρησιμοποιεί "cookies". Επιλέγοντας ‘αποδοχή’ δίνετε τη συναίνεσή σας στη χρήση "cookies".