aggeiologia.gr

Ιατρεία:
Αθήνα - Πεύκη - Χίος - Γλυφάδα
pavlos@aggeiologia.gr
210 722 722 1 - 6944 475 225
  • ΑΡΧΙΚΗ
  • ΠΡΟΦΙΛ
    • Βιογραφικό
    • Αγγειολογία & Αγγειοχειρουργική
    • Επιστημονικές Εργασίες
    • Ομιλίες
    • Διοργάνωση Ημερίδων
    • Δραστηριότητες
    • Αρθρογραφία
  • ΙΑΤΡΕΙΑ
    • Ιατρείο Αθηνών
    • Ιατρείο Πεύκης
    • Ιατρείο Γλυφάδας
    • Ιατρείο Χίου
  • ΠΑΘΗΣΕΙΣ
    • Διάγνωση Αγγειακών Παθήσεων
      • Ιστορικό & Κλινική Εξέταση
      • Triplex Αγγείων
    • Θεραπεία Φλεβικών Παθήσεων
      • Φλεβική Ανεπάρκεια
      • Κιρσοί κάτω άκρων
      • Ευρυαγγείες
      • Φλεβικό Έλκος
    • Θεραπεία Αρτηριακών Παθήσεων
      • Στένωση Καρωτίδας
      • Ανεύρυσμα Κοιλιακής – Θωρακικής Αορτής
      • Θωρακοκοιλιακό Ανεύρυσμα
      • Στένωση – Απόφραξη Περιφερικής Αρτηρίας
  • ΕΠΙΚΟΙΝΩΝΙΑ
Sunday, 21 January 2018 / Published in Ομιλίες

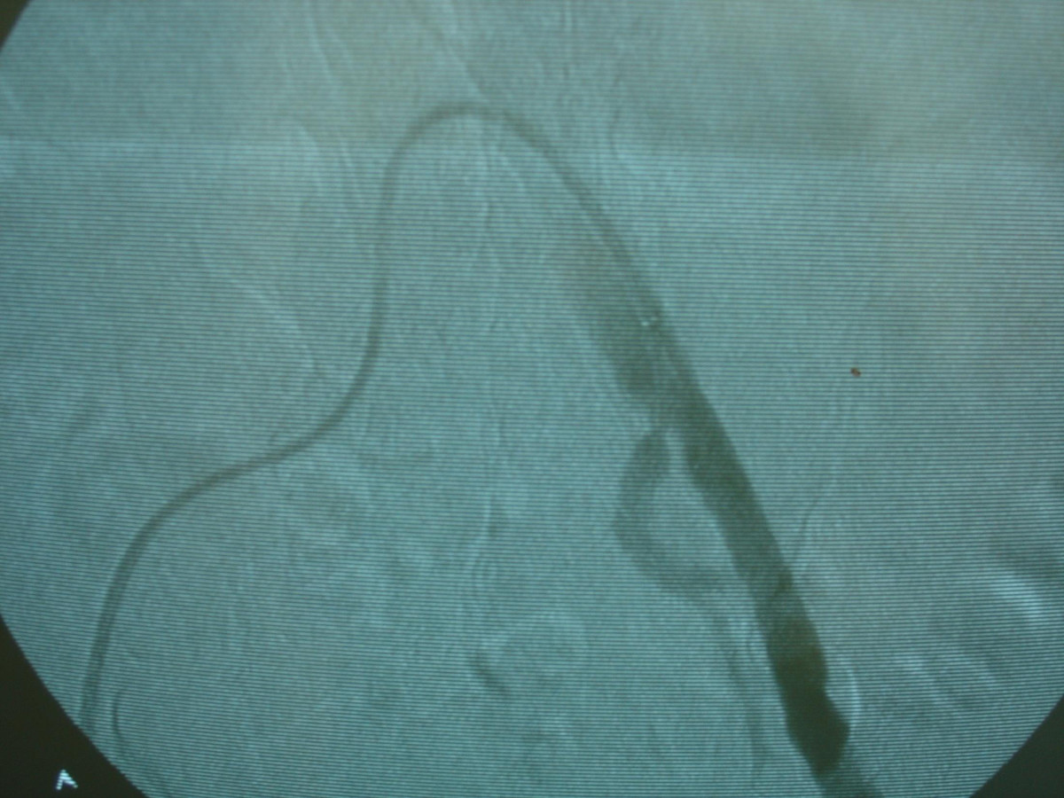
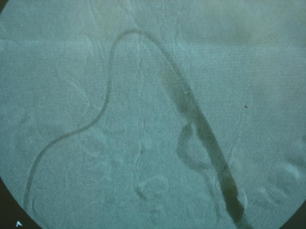
Ενδαγγειακή αποκατάσταση ανευρυσμάτων κοιλιακής αορτής

12ο Πανελλήνιο Συνέδριο Αγγειακής και Ενδαγγειακής Χειρουργικής

2010, Αθήνα

  • Tweet

What you can read next

Διαλείπουσα χωλότητα – Δείκτης πολυεστιακής νόσου
Έλκη αγγειακής αιτιολογίας
22ο Πανελλήνιο Συνέδριο Αγγειολογίας

Ομιλιες

  • 22ο Πανελλήνιο Συνέδριο Αγγειολογίας
  • Φλέβες στα πόδια (Κιρσοί), ανεύρυσμα, στένωση καρωτίδων: Πρόληψη και αντιμετώπιση
  • “Ενδαγγειακή Αποκατάσταση Ψευδοανευρίσματος Καρωτίδας μετα Ενδαρτηρεκτομή”
  • Συντηρητική Αντιμετώπιση Αγγειακών Παθήσεων “Μέθοδοι για την Βελτίωση της Διαλείπουσας Χωλότητας”
  • Ειδικές χειρουργικές επεμβάσεις και ιδανικό κολόβωμα
  • Έλκη αγγειακής αιτιολογίας
  • Χρόνια περιφερική αρτηριοπάθεια: από τους παράγοντες κινδύνου στην πρόληψη
  • Στενώσεις ενδοκράνιων αγγείων – Ενδείξεις αντιμετώπισης
  • Επεμβατική αποκατάσταση της αιμάτωσης στο Διαβητικό Πόδι
  • Αντιμετώπιση οξείας θρόμβωσης ανευρύσματος Ιγνυακής: Θρομβόλυση ή ανοικτή αντιμετώπιση?
  • Κυκλοφορικό σύστημα
  • Προφύλαξη και Θεραπεία Θρομβοεμβολής: Αντενδείξεις θρομβοπροφύλαξης
  • Επεμβατικές μέθοδοι που μειώνουν το ύψος του ακρωτηριασμού
  • Φλεβική ανεπάρκεια & Φλεβοθρόμβωση. Τι πρέπει να γνωρίζουμε.
  • Αντιμετώπιση της λαγονομηριαίας φλεβικής θρόμβωσης. Αντιπηκτική αγωγή

Βακαλόπουλος Γ. Παύλος MD,MSc

ΑΓΓΕΙΟΧΕΙΡΟΥΡΓΟΣ

τ. Διευθυντής Αγγειοχειρουργικής Κλινικής Ναυτικού Νοσοκομείου Αθηνών.

Διευθυντής Β΄  Αγγειοχειρουργικής Κλινικής Mediterraneo Hospital

Μετεκπαιδευθείς εις "Imelda Hospital", Βέλγιο

Master στις "Ενδαγγειακές Τεχνικές¨" & στο "Triplex αγγείων"

GDPR

  • Όροι χρήσης
  • Πολιτική Απορρήτου

ΔΙΑΓΝΩΣΗ

  • Ιστορικό & Κλινική Εξέταση
  • Triplex Αγγείων

ΠΑΘΗΣΕΙΣ

  • Φλεβική Ανεπάρκεια
  • Κιρσοί κάτω άκρων
  • Ευρυαγγείες
  • Φλεβικό Έλκος
  • Στένωση Καρωτίδας
  • Ανεύρυσμα Κοιλιακής – Θωρακικής Αορτής
  • Θωρακοκοιλιακό Ανεύρυσμα
  • Στένωση – Απόφραξη Περιφερικής Αρτηρίας

ΕΠΙΚΟΙΝΩΝΙΑ


Ιατρείο Αθήνας


Γεωργίου Σισίνη 37 & Χατζηγιάννη Μέξη
(δίπλα στο ξενοδοχείο Hilton)

Δευτέρα & Τετάρτη (17:00 - 20:00)
210 722 722 1, 6944475225
pavlos@aggeiologia.gr


Ιατρείο Πεύκης


Λεωφόρος Ειρήνης 11

Τρίτη & Παρασκευή (17.00 - 20.00)
Τετάρτη (09.00 -11.00)

210 722 722 1, 6944475225
pavlos@aggeiologia.gr


Ιατρείο Χίου


Κλινική "Ζωοδόχος Πηγή" (Ι.Μισαηλίδη)

Ευαγγελιστρίας 10

Για ραντεβού καλέστε πρωινές ώρες: 22710 22487


Ιατρείο Γλυφάδας


Mediterraneo Hospital

Ηλείας 8 - 12

Ραντεβού: 210 9117710 & 730

© 2025 aggeiologia.gr. All rights reserved. Made by Webmaze
TOP
Ο παρόν ιστότοπος προκειμένου να παρέχει την καλύτερη δυνατή εμπειρία στους χρήστες χρησιμοποιεί "cookies". Επιλέγοντας ‘αποδοχή’ δίνετε τη συναίνεσή σας στη χρήση "cookies".